Оборудование
Назад
Система для цифрового анализа морфологии клеток DI-60 фирмы CellaVision АВ, Швеция
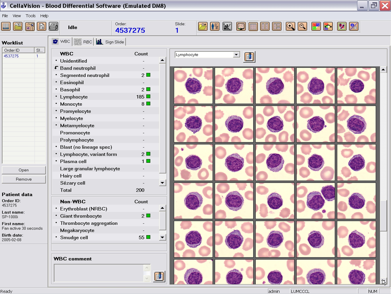
DI-60 – это автоматизированная система, позволяющая проводить анализ мазка крови (жидкости тела). DI-60 состоит из автоматического микроскопа, высококачественной цифровой камеры и компьютерной системы, которая собирает и осуществляет предварительную классификацию клеток согласно одному из предустановленных клеточных классов: палочкоядерные нейтрофилы, сегментоядерные нейтрофилы, базофилы, моноциты, промоноциты, пролимфоциты, эозинофилы, лимфоциты, промиелоциты, миелоциты, метамиелоциты, лимфоциты (вариантные формы), плазматические клетки, большие гранулярные лимфоциты, волосатые клетки, клетки Сезари, бласты, эритробласты (NRBC), гигантские тромбоциты, тромбоцитарные агрегаты, мегакариоциты.
Система DI-60 позволяет получать высококачественные цифровые изображения исследуемых клеток. Все изображения клеток и результаты анализа хранятся в базе данных.

При исследовании эритроцитов оцениваются следующие параметры: полихроматия, гипохроматия, анизоцитоз, микроцитоз, макроцитоз, пойкилоцитоз, клетки-мишени, шизоцитоз, шлемовидные эрироциты, серповидные эрироциты, сфероцитоз, эллиптоцитоз, овалоцитоз, каплевидные клетки, стоматоцитоз, ахантоцитоз, эхиноцитоз, тельца Хауэлла-Жолли, тельца Паппенгеймера, базофильная зернистость, паразиты.
Читать далее
Таблица технических характеристик товара
- Параметры
Идентификация слайда
Встроенный бар-код ридер
Подача масла
автоматическая
Объективы
10х и 100х
Производительность
30 слайдов в час
Преклассификация
До 18 классов лейкоцитов, анализ эритроцитов и тромобцитов
Размер
57,6 см х45,0 см х 74,5 см
Вес
84 кг



